[mtphr_grid span=»12″ start=»true» end=»true»]
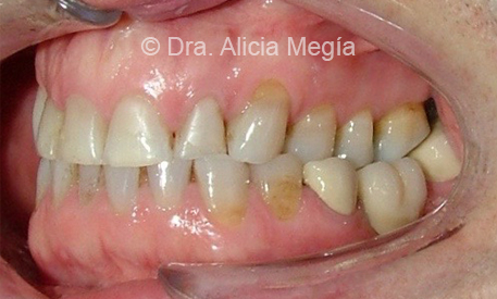
Ortodoncia adultos – Caso número 1
[/mtphr_grid]
[mtphr_grid span=»6″ start=»true»]
[/mtphr_grid][mtphr_grid span=»6″ end=»true»]
[/mtphr_grid]
[mtphr_grid span=»6″ start=»true»]
[/mtphr_grid][mtphr_grid span=»6″ end=»true»]
[/mtphr_grid]
[mtphr_grid span=»6″ start=»true»]
[/mtphr_grid][mtphr_grid span=»6″ end=»true»]
[/mtphr_grid]
[mtphr_grid span=»6″ start=»true»]
[/mtphr_grid][mtphr_grid span=»6″ end=»true»]
[/mtphr_grid]
[mtphr_grid span=»6″ start=»true»]
[/mtphr_grid][mtphr_grid span=»6″ end=»true»]
[/mtphr_grid]
[mtphr_grid span=»6″ start=»true»]
[/mtphr_grid][mtphr_grid span=»6″ end=»true»]
[/mtphr_grid]












